منتدى مقاطعة

منتدى مقاطعة (https://www.mqataa.org/vb/index.php)
-   مناقشات المستهلك (https://www.mqataa.org/vb/forumdisplay.php?f=2)
-   -   طفله تبلغ من العمر سنة واحدة وجدت حامل في السعودية (https://www.mqataa.org/vb/showthread.php?t=8337)

مقاطع لين الله يفرجها 01-03-2008 08:25 PM

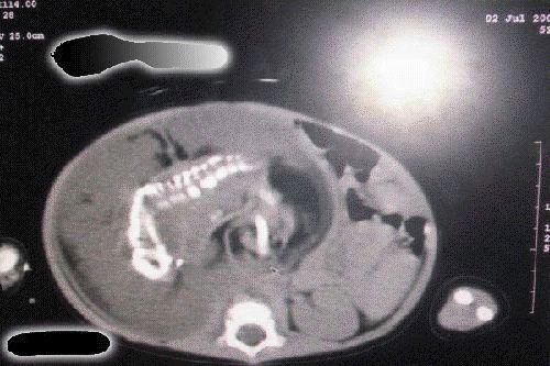
طفله تبلغ من العمر سنة واحدة وجدت حامل في السعودية
 
6 مرفق
طفله تبلغ من العمر سنة واحدة وجدت حامل في المملكه العربية السعودية. ويقول الاطباء انها حالة فريدة في العالم!
ويقول التقرير : ان الأم كانت حاملا بجنينين ولكن احداهما نما داخل الآخر.






جمرة غضا 01-03-2008 08:38 PM

لا اله الا الله

هالمسكينة عمرها سنة وتوهم يكتشفون

سعود المتعب 01-03-2008 08:50 PM

سبحان الله

الله يعينها المسكينه ويعين اهلها

على هذا الخبر المحير

واذا وضعت هل يكون ابنها ام اخيها

اذا كان يعتبر ابنها فهي سوف تكون اصغر ام منذ ان خلق الله الأنسان

abuhisham 01-03-2008 10:36 PM

سبحان الله.

مقاطعهم&حارقهم 01-03-2008 10:51 PM

اعتقد والله اعلم ان الجنين الموجود ببطنها سيكون ميت لأن عمرها سنة وهو توأم لها كما ورد في الخبر !!!

ولله في خلقه شئون

سبحان الله وبحمده سبحان الله العظيم

جباية المستهلك 02-03-2008 01:24 AM

اسنغفر الله

v2 02-03-2008 07:54 AM

سبحان الله


الساعة الآن 11:03 AM.

Powered by vBulletin® Version 3.8.7
Copyright ©2000 - 2026, vBulletin Solutions, Inc. Trans by