العودة   منتدى مقاطعة > مجتمع مقاطعة التفاعلي > مناقشات المستهلك > طفله تبلغ من العمر سنة واحدة وجدت حامل في السعودية

موضوع مغلق
 
أدوات الموضوع إبحث في الموضوع انواع عرض الموضوع
قديم 01-03-2008, 08:25 PM   #1
مقاطع لين الله يفرجها
مقاطع

 
رقـم العضويــة: 6321
تاريخ التسجيل: Oct 2007
المشـــاركـات: 151

افتراضي طفله تبلغ من العمر سنة واحدة وجدت حامل في السعودية

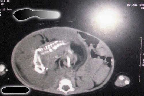
طفله تبلغ من العمر سنة واحدة وجدت حامل في المملكه العربية السعودية. ويقول الاطباء انها حالة فريدة في العالم!
ويقول التقرير : ان الأم كانت حاملا بجنينين ولكن احداهما نما داخل الآخر.
الاسم:	1.jpg
المشاهدات: 1571
الحجم:	63.0 كيلوبايت

الاسم:	2.jpg
المشاهدات: 1556
الحجم:	54.9 كيلوبايت

الاسم:	4.jpg
المشاهدات: 1451
الحجم:	62.2 كيلوبايت

الاسم:	5.jpg
المشاهدات: 1487
الحجم:	40.8 كيلوبايت

الاسم:	6.jpg
المشاهدات: 1452
الحجم:	39.4 كيلوبايت

الاسم:	7.jpg
المشاهدات: 1380
الحجم:	41.2 كيلوبايت

___________________________


مقاطع لين الله يفرجها غير متواجد حالياً  
قديم 01-03-2008, 08:38 PM   #2
جمرة غضا
التميمية
المراقب العام
 
الصورة الرمزية جمرة غضا
 
رقـم العضويــة: 715
تاريخ التسجيل: Aug 2007
مــكان الإقامـة: محفر تمر سكري
المشـــاركـات: 40,561
Twitter

افتراضي

لا اله الا الله

هالمسكينة عمرها سنة وتوهم يكتشفون

___________________________

التميمية تويتر


للتواصل مع ادارة المقاطعة


جمرة غضا غير متواجد حالياً  
قديم 01-03-2008, 08:50 PM   #3
سعود المتعب
ملك العروض المميزة
 
الصورة الرمزية سعود المتعب
 
رقـم العضويــة: 450
تاريخ التسجيل: Aug 2007
المشـــاركـات: 1,612

افتراضي

سبحان الله

الله يعينها المسكينه ويعين اهلها

على هذا الخبر المحير

واذا وضعت هل يكون ابنها ام اخيها

اذا كان يعتبر ابنها فهي سوف تكون اصغر ام منذ ان خلق الله الأنسان

___________________________

سعود المتعب غير متواجد حالياً  
قديم 01-03-2008, 10:36 PM   #4
abuhisham
الإدارة

 
رقـم العضويــة: 94
تاريخ التسجيل: Aug 2007
مــكان الإقامـة: جده, السعودية
المشـــاركـات: 17,549
Twitter

افتراضي

سبحان الله.
abuhisham غير متواجد حالياً  
قديم 01-03-2008, 10:51 PM   #5
مقاطعهم&حارقهم
مشرف
 
الصورة الرمزية مقاطعهم&حارقهم
 
رقـم العضويــة: 5800
تاريخ التسجيل: Sep 2007
المشـــاركـات: 5,647

افتراضي

اعتقد والله اعلم ان الجنين الموجود ببطنها سيكون ميت لأن عمرها سنة وهو توأم لها كما ورد في الخبر !!!

ولله في خلقه شئون

سبحان الله وبحمده سبحان الله العظيم

___________________________



واذا غلا شيء علي تركته *** فيكون ارخص ما يكون اذا غلا




للتواصل مع إدارة المقاطعة راسلنا على الإيميل:


مقاطعهم&حارقهم غير متواجد حالياً  
قديم 02-03-2008, 01:24 AM   #6
جباية المستهلك
كاتب مميز

 
رقـم العضويــة: 1866
تاريخ التسجيل: Aug 2007
مــكان الإقامـة: حاليا على الارض
المشـــاركـات: 2,026

افتراضي

اسنغفر الله

___________________________



"لا للإسراف في رمضان"

جباية المستهلك غير متواجد حالياً  
قديم 02-03-2008, 07:54 AM   #7
v2
مقاطع فعال

 
رقـم العضويــة: 7155
تاريخ التسجيل: Jan 2008
مــكان الإقامـة: المملكة العربية السعودية
المشـــاركـات: 546

افتراضي

سبحان الله

___________________________


قصيدة مهداه لوزير العمل من كل عاطل
v2 غير متواجد حالياً  
موضوع مغلق

مواقع النشر


ضوابط المشاركة
لا تستطيع إضافة مواضيع جديدة
لا تستطيع الرد على المواضيع
لا تستطيع إرفاق ملفات
لا تستطيع تعديل مشاركاتك

BB code متاحة
كود [IMG] متاحة
كود HTML معطلة

الانتقال السريع


الساعة الآن 11:04 AM.